- 放大
- 缩小
- 默认
她走路脚疼,原来是“拇外翻”在作怪
舟山医院骨科主治医师朱晓波:轻症可以保守治疗缓解疼痛,严重的则需手术矫正
姚舜妤 字数:
《 舟山晚报 》( 2024年08月29日 第 07 版 )


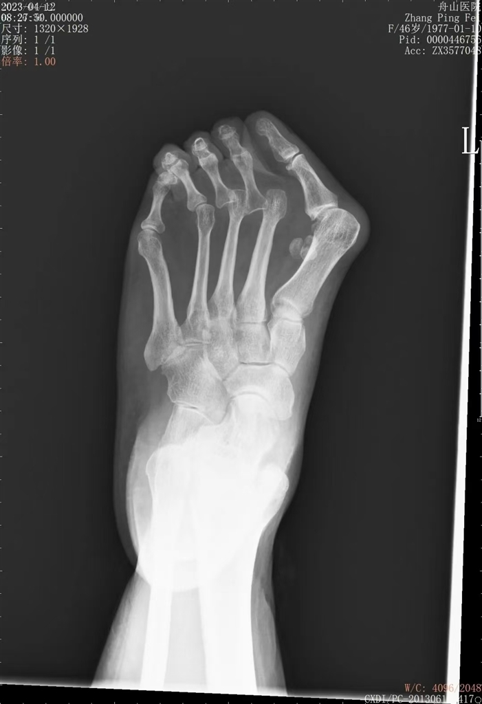
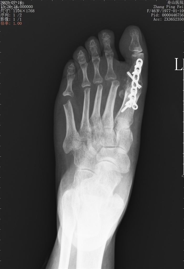
拇外翻手术前后
□记者 姚舜妤 图片由受访者提供
今年50岁的周女士(化姓)近日发觉自己大脚趾内侧肿胀疼痛,在舟山医院骨科被确诊拇外翻。她原以为涂点外用药,用器材做做按摩就能恢复,医生却建议做个手术。
“我们接诊时看到她的拇外翻比较严重,如果不及时介入,后续足部疼痛和畸形会越来越严重,严重影响日常生活。”舟山医院骨科主治医师朱晓波介绍,拇外翻也就是俗称的“大脚骨”,遗传和不良生活习惯是导致拇外翻的两大因素,轻度的可以通过保守治疗缓解疼痛,严重的需要通过手术矫正。
遗传和不良生活习惯是两大主因
拇外翻主要表现为大脚趾向外侧倾斜,部分患者同时伴有第一跖骨内收。“正常人的拇趾有10度左右的向外偏斜,当拇趾向外偏斜超过15度,我们就把它称作拇外翻。”朱晓波说,拇外翻有多种发生因素,其中遗传和不良生活习惯是两大主因。
大约一半以上的拇外翻患者有家族遗传史,如不干预,这类人群随着年龄增大拇外翻会愈发明显。“另外,不良生活习惯尤其是穿鞋不当,也是拇外翻发病的重要因素之一。比如长期穿高跟鞋、尖头鞋,就容易致大脚趾长期处在一个被挤压状态,从而引发和加重拇外翻。”朱晓波说。
拇外翻还是一种“偏爱”女性的疾病,这和女性的生理特点有关,也与部分女性爱穿高跟鞋的习惯有关。
“女性足部韧带较男性弱,在同等遗传条件下,更容易发生拇外翻。尤其在更年期之后,人的足底肌肉减弱,也会提高拇外翻的发病率。”朱晓波表示,门诊中,女性患者占百分之七八十。
另外,除了上述因素,扁平足、骨折畸形愈合、足部肌肉力量不平衡、类风湿关节炎、痛风等也可能导致拇外翻。
拇外翻可以通过保守治疗或手术矫正
拇外翻也是一类很容易被患者忽视的疾病,很多患者以为自己的拇趾外翻是脚型天生如此,先前只感觉不够美观,直到出现了拇囊炎、胼胝、交叉趾畸形等病症,足部疼痛难忍才寻求治疗。拇外翻会进行性发展,如果发现自己有拇外翻的症状,要及时到医院进行评估,由医生制定对应的治疗方案。
去年,舟山医院收治了一例严重拇外翻的女性患者。患者多年来一直有穿鞋尴尬,因为她两只脚的大脚趾都朝小脚趾倾斜,夏季就只能穿宽大的运动鞋或布鞋来遮挡。随着年龄增长,她走路时足部俞愈发疼痛,已严重影响正常生活,不得已到舟山医院就诊。
“这个患者的拇外翻已经发展得很严重了,除了拇趾,其他几个脚趾也出现了变形,第4趾还骑跨于第5趾,后来的手术就相对大一些。如果是轻度的拇外翻,是可以采用保守治疗的。”
轻度的拇外翻,可以通过锻炼足部肌肉提升足部稳定性,从而纠正部分外翻,有空时也可以脱掉鞋子做一下足底按摩。“可以在脚趾下面放一块毛巾,做抓取毛巾的动作来锻炼足部肌肉。做瑜伽的人群也可以做做足部牵拉。另外,医院也有专门的矫形器和矫形鞋垫可以帮助缓解疼痛。“如果疼痛还是很剧烈,那就需要接受手术治疗。
对于一些市民有手术疼痛、术后恢复相关的担忧,朱晓波表示,拇外翻手术的创口不大,切口一般在3厘米左右。疼痛也比一般骨折手术轻很多。“术后一般3~7天就可以穿前足减压鞋下地行走,平时坐办公室上班的患者一般在术后5~7天就能返工。”对于从事需要长时间站立、行走工作或需穿高跟鞋的患者,朱晓波则建议,等到截骨完全愈合后再上班,愈合时间一般为6~8周。做过拇外翻手术的患者换药时要尽量选择足踝外科医生而非普通外科,因为对应科室在包扎手法上有所讲究。“另外,我们也建议有拇外翻遗传史的人群,定期到医院做检查,观察一下有没有发展迹象。”
拇外翻可通过足部护理与锻炼预防
如果有拇外翻家族遗传史,或者担心自己会拇外翻的市民,也可以通过一些方式预防。“平时尽量穿宽松的鞋子,尽量避免长时间穿高跟鞋,平时也不要老穿一双鞋子。”朱晓波提醒道。
在锻炼足部肌肉方面,除了做脚趾抓物练习,也可以做些赤足运动,如赤足跑步、走路等,以增强足底肌肉力量,延缓拇外翻发展;要注意经常洗脚并保持足趾间的干燥,以减少细菌滋生和感染的风险;在修剪趾甲时要趾甲边缘平直,不可过深,避免形成嵌甲。
“平时也要避免长时间站立或行走。长时间站立或行走后,应适时休息,并适当按摩脚部以缓解疲劳。”朱晓波表示,走路时也要保持正确的姿势,避免脚总喜欢往两侧外撇等不良习惯。