- 放大
- 缩小
- 默认
女子居家大扫除后高烧不退 肺部长出“小树芽”……
字数
《 舟山晚报 》( 2024年05月16日 第 09 版 )

一周前,家住杭州的王女士(化名)出现咳嗽、乏力、发热。起初,她以为只是常见的感冒,便自行服用了一些退烧药。
然而,经过三天,王女士的症状非但没有缓解,反而持续高热,体温一度升至40摄氏度。在朋友的劝说下,她被送往杭州师范大学附属医院。
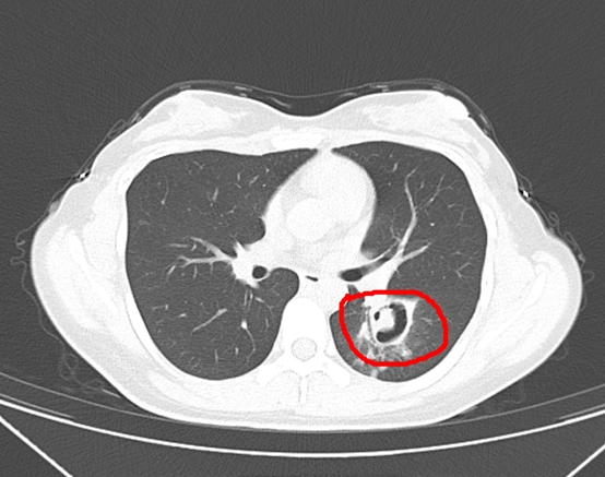
经过一系列检查,接诊的感染性疾病科(肝病科)周翔主任医师从肺部CT上发现,王女士的肺部长出了一个个“小树芽”,经过专家查看,怀疑是霉菌性肺炎。
好好的怎么突然得了肺炎?经过周翔仔细询问,王女士再三回忆,终于想起来一个细节。
一个月前,她发现家中衣柜出现霉斑,便对发霉的地方做了清扫,其间没有做防护。
在清扫过程中,王女士不经意间吸入不少扬尘和杂质。之后她就出现阵发性咳嗽,由于程度较轻,她并未引起足够的重视。
了解了这一情况后,为了进一步确诊病情,周翔为王女士做了纤维支气管镜检查,果然发现气道壁上缀着大量白色菌斑。
经过化验分析,确认王女士感染的是曲霉菌,这是一种常见的霉菌。
王小姐在家中清扫墙壁和家具的灰尘并且未戴口罩,周翔判断很有可能是这些灰尘中混入了各种霉菌所致。王女士平时喜欢昼夜开窗通风,现正值南方四五月份气候回暖,阴雨不断,空气潮湿给霉菌生长提供了天然的有利条件。
周翔解释:“霉菌在人体内可引发感染,像王女士吸入气道引起肺部感染,还会引发口腔、皮肤、泌尿系统、胃肠道等感染,甚至引发全身感染。过敏体质的人群,吸入体内后可引发过敏反应。建议大家在打扫卫生的过程中尽量戴上口罩,穿好长衣长裤,打扫卫生完毕,尽快更换衣物。”
霉菌滋生季,如何做好防护
周翔表示,最重要的是要提高自身的免疫力,例如多参加体育锻炼,保持充足的睡眠,保持乐观的情绪,补充优质蛋白质,另外真菌感染和环境有一定关系,建议市民做好以下几点:
1.家中的墙角、窗台、厨房水池灶台,厨具餐具,冰箱内部、洗手间浴室、洗衣机内部、空调等地方容易滋生霉菌,此外长时间不用的书籍、地毯也容易长霉菌。因此,要做好居家清洁工作,定期晾晒被褥,勤打扫,及时清理发霉物品。可以用消毒水,比如3%的过氧化氢、苏打水,或者1:1调配的水和白醋进行清洁,也可以对书籍、地毯等进行阳光晾晒,清除霉菌的时候注意戴口罩,戴手套,以免误吸。
2.霉菌会在潮湿的环境中生长,家中或办公室要注意通风,尤其在梅雨季节。在潮湿重灾区可以挂一袋吸湿盒或除湿包,也可以使用除湿机或空调,使室内湿度保持在40%~50%之间。
3.不要囤积过多的食物,一旦发现食物发霉要及时扔掉,隔夜的食物也不要吃。
4.尽量减少室内绿植栽培,避免土壤中的霉菌滋生。